Estetica dentale: le faccette in ceramica per un sorriso perfetto
Un sorriso luminoso e armonioso è il biglietto da visita di una persona. Tuttavia, denti macchiati, scheggiati o disallineati possono compromettere l’estetica e la sicurezza in se stessi. Le faccette in ceramica rappresentano una soluzione efficace e duratura per migliorare l’aspetto del sorriso in modo naturale e minimamente invasivo. Scopri tutto quello che c’è da sapere su questa tecnica avanzata di estetica dentale.
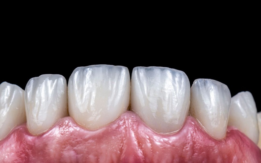
1. Cosa sono le faccette in ceramica?
Le faccette in ceramica sono sottilissime lamine in porcellana che vengono applicate sulla superficie anteriore dei denti per migliorarne l’estetica. Grazie alla loro capacità di imitare il colore, la luminosità e la traslucenza dei denti naturali, offrono un risultato estremamente realistico e naturale.
2. Vantaggi delle faccette in ceramica
Optare per le faccette in ceramica significa beneficiare di numerosi vantaggi:
-
Miglioramento estetico immediato – Correggono imperfezioni come macchie, discromie, denti storti o leggermente separati.
-
Aspetto naturale – La ceramica ha una traslucenza simile a quella dello smalto naturale, garantendo un sorriso autentico.
-
Durata nel tempo – Con una corretta igiene orale e controlli periodici, le faccette possono durare oltre 10-15 anni.
-
Minima invasività – Rispetto ad altre soluzioni protesiche, la preparazione del dente è minima e non richiede un rimodellamento eccessivo.
-
Resistenza alle macchie – La ceramica è un materiale altamente resistente alle pigmentazioni causate da caffè, tè e fumo.
3. Quando scegliere le faccette in ceramica?
Le faccette in ceramica sono indicate per chi desidera correggere:
-
Denti ingialliti o macchiati che non rispondono allo sbiancamento dentale.
-
Denti scheggiati o consumati.
-
Disallineamenti lievi o diastemi (spazi tra i denti).
-
Denti di forma irregolare o sproporzionati rispetto agli altri.
4. Il processo di applicazione delle faccette
L’applicazione delle faccette in ceramica avviene in più fasi e richiede la massima precisione per garantire un risultato eccellente:
-
Prima visita e valutazione – Il dentista esamina la situazione dentale del paziente e discute le aspettative estetiche.
-
Preparazione dei denti – Si rimuove un sottilissimo strato di smalto per permettere l’adesione delle faccette.
-
Impronta e progettazione – Viene realizzata un’impronta digitale o fisica per creare faccette su misura.
-
Applicazione temporanea – Si possono applicare faccette provvisorie per testare il nuovo sorriso.
-
Cementazione definitiva – Dopo i test, le faccette in ceramica vengono fissate in modo permanente con un cemento adesivo specifico.
5. Manutenzione e durata
Le faccette in ceramica non richiedono cure particolari, ma è importante adottare alcune buone abitudini per garantirne la durata:
-
Mantenere un’ottima igiene orale con spazzolino e filo interdentale.
-
Evitare di mordere oggetti duri (penne, unghie, ghiaccio).
-
Effettuare visite regolari dal dentista per controlli e pulizie professionali.
-
Evitare l’abuso di sostanze che possono macchiare i denti, anche se la ceramica è altamente resistente alle pigmentazioni.
Conclusione
Le faccette in ceramica sono una soluzione eccellente per chi desidera trasformare il proprio sorriso in modo naturale e duraturo. Grazie alla loro resistenza, estetica impeccabile e minima invasività, rappresentano una scelta sempre più diffusa tra chi desidera un sorriso perfetto. Se stai pensando di migliorare il tuo aspetto con un trattamento di estetica dentale, consulta un dentista specializzato per valutare la soluzione più adatta alle tue esigenze.